Skip to content

Boring Discovery

Making discovery anything but boring.

  • Privacy Policy
  • Cookie Policy
  • About Us
  • Contact Us
//

We influence 20 million users and is the number one business and technology news network on the planet

Boring Discovery

Making discovery anything but boring.

  • Privacy Policy
  • Cookie Policy
  • About Us
  • Contact Us

June 2025

We’re Going Back to the Moon — But This Time, NASA Plans to Stay
  • Amaze me
June 19, 2025

We’re Going Back to the Moon — But This Time, NASA Plans to Stay

BoringDiscovery6 mins0
After more than five decades, humanity is heading back to the Moon. NASA’s Artemis III mission, slated…
continue reading..
The Battery That Could Break Lithium’s Monopoly — Is Sodium the Future of Clean Energy?
  • Renewable Energy & Sustainability
June 15, 2025

The Battery That Could Break Lithium’s Monopoly — Is Sodium the Future of Clean Energy?

BoringDiscovery6 mins0
For decades, lithium-ion batteries have powered everything from smartphones to electric vehicles. But that dominance may be…
continue reading..
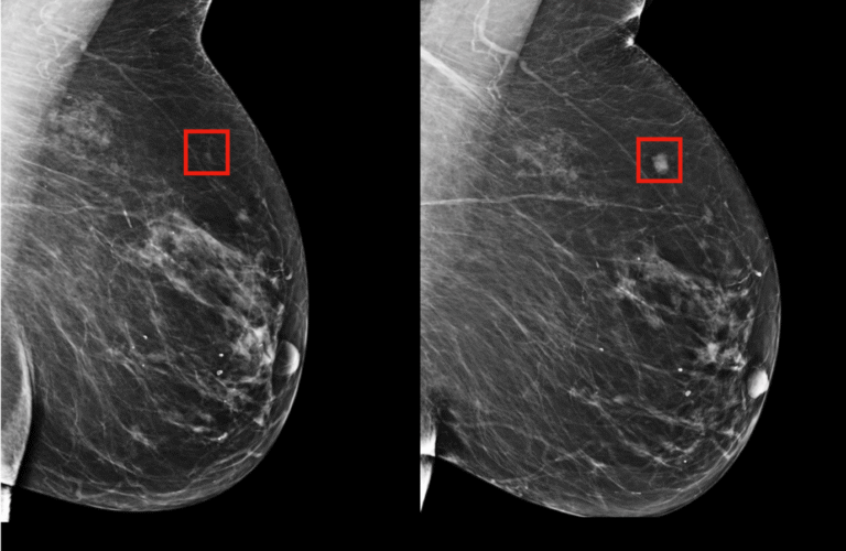
This AI Found Cancer Doctors Missed — Is It the Future of Diagnosis?
  • Artificial Intelligence & Machine Learning
June 13, 2025

This AI Found Cancer Doctors Missed — Is It the Future of Diagnosis?

BoringDiscovery7 mins0
A revolutionary new wave of artificial intelligence is reshaping oncology. Recent clinical trials show that AI in…
continue reading..
Your Smartwatch Could Save Your Life — Here’s How AI Is Detecting Illness Before Symptoms Show
  • Consumer Electronics & Gadgets
June 8, 2025

Your Smartwatch Could Save Your Life — Here’s How AI Is Detecting Illness Before Symptoms Show

BoringDiscovery8 mins0
The latest generation of AI-powered smartwatches is no longer just counting your steps or checking your heart…
continue reading..
Serverless Computing in DevOps: A New Era of Scalable, Automated Infrastructure
  • Software & Programming
June 8, 2025June 8, 2025

Serverless Computing in DevOps: A New Era of Scalable, Automated Infrastructure

BoringDiscovery8 mins0
Serverless computing has emerged as one of the most transformative trends in modern DevOps. By abstracting away…
continue reading..
NASA’s Artemis III Mission: Humans Returning to the Moon in 2026
  • Amaze me
June 6, 2025

NASA’s Artemis III Mission: Humans Returning to the Moon in 2026

BoringDiscovery7 mins0
NASA has officially confirmed that Artemis III, the first crewed mission to land on the Moon since…
continue reading..
CRISPR Gene Editing Shows Promising Results in Global Cancer Trial
  • Biotechnology & Health Tech
June 4, 2025

CRISPR Gene Editing Shows Promising Results in Global Cancer Trial

BoringDiscovery7 mins0
In a major milestone for biotechnology and cancer research, an international team of scientists has announced successful…
continue reading..
AI in Threat Detection: The Next Frontier in Cybersecurity Intelligence
  • Cybersecurity & Privacy
June 4, 2025

AI in Threat Detection: The Next Frontier in Cybersecurity Intelligence

BoringDiscovery9 mins0
As cyberattacks grow in volume and complexity, enterprises are turning to AI in threat detection to defend…
continue reading..
  • 1
  • 2

Stay Connected

235.3kFollowersLike
69.1kFollowersFollow
11.6kFollowersPin
56.4kFollowersFollow
136kSubscribersSubscribe
4.4kFollowersFollow
- Advertisement -
Ad imageAd image